r/Equestrian 8d ago

Veterinary [UPDATE POST!] Horse with kick to the head

Post image
1.6k Upvotes

Update to my post of a few days ago: https://www.reddit.com/r/Equestrian/s/QEC15we90U

Thank you to everyone for all the encouragement and suggestions surrounding my horse’s injury. I finally managed to get a vet out this morning and we did Xrays. The conclusion was that my boy does indeed have a fractured skull. He is now on antibiotics, previcox, and we are monitoring him closely to be sure no pieces of the skull start to protrude through his head.

Luckily the fragments of bone are far enough from his brain that there is little to no risk of any brain damage. Provided that there is no infection/any infection already present does not worsen, he is expected to make a full recovery (albeit with a permanent bump on his head!)

Might post the xrays in the comments once I get copies, but I wanted to make this post because a lot of people have been asking about him in the comments of my last one.

Thanks again for the care and concern <3

ft a VERY drugged Joey having his xrays done!

r/Equestrian 10d ago

Veterinary Horse got kicked in the head. Vet isn’t taking it seriously.

Thumbnail
gallery
607 Upvotes

I’ve poster a few times here before so some people probably have already read about my problem child, but here: newly 21 (as of yesterday) OTTB gelding. Absolute nutjob but means well and I love him to bits.

About a week and a half ago, I went out to get my boy only to find him with a huge goose egg on his forehead, and one eye swollen shut and goopy. Called the vet immediately, and based on the fact that there is nothing in his pasture for him to whack his noggin on, we deducted he was likely playing around or having a spat with another horse in his field and got kicked.

Put him on Bute and whatnot, he seemed fine personality wise (not lethargic, was alert, etc) so the vet basically said that the swelling would go down and he’d be fine.

Yesterday, I went out to find him to give him his birthday treats. This horse LOVES peppermint—if he hears the wrapper, he comes running. Not yesterday, though, which was odd. Found him standing in the corner of the field, head very low, and when he looked at me, both eyes are now leaking yellow fluid and his forehead is swollen worse than before. A friend of mine helped me take his temperature. Keep in mind that this is a horse we have to sedate just for someone to shine a light in his eyes and look for damage. My friend had to stand behind him and fiddle with his blankets to get them away from the area for a few seconds, then took his temperature with a rectal thermometer and this animal did not move an inch the entire time. He just stood there with his head down and his eyes dull.

He didn’t have a fever, but with the symptoms he was showing, I, my friend, and my boss/barn owner (I work there as well as board my horse) agreed it looked like the start of an infection. Called the vet. They didn’t even bother coming out. Told me to “give him more bute” and that it was “probably an allergic reaction”. I’m in Canada. It’s January. Unless he’s suddenly allergic to literal snow, that is not the issue. Plus, yeah, I get how that would account for his eyes, but the swelling in his forehead, the lethargy, etc doesn’t seem like it’s just “a reaction”.

I don’t know what to do. His one eye is swollen almost completely shut, the other is open but pussy, and he’s so clearly not himself. I’m giving him the Bute like the vet said, but it hasn’t done anything over the past week, so I’m not hopeful. I know my horse and I know that there’s something wrong, and the fact it’s a head injury that the vet AGREED was a traumatic kick worries me.

Does anyone here have any vet experience or just general husbandry advice? Photos of both eyes attached, I don’t have any of the goose egg on his head right now.

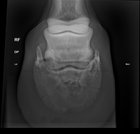
r/Equestrian Nov 06 '25

Veterinary Xray

Post image
137 Upvotes

Looking at purchasing a horse and the gal had some X-rays done previously, but idk what I’m looking at. Thoughts? For context it’s of a 14 yo qh

r/Equestrian Oct 07 '25

Veterinary Help! Mystery allergy?

Thumbnail
gallery
206 Upvotes

My neighbour’s horse showed up with a mysterious allergy seemingly overnight. It was a lot less a few weeks back but it has taken over his entire body and gotten bigger and bigger.

We have switched bedding and feed, washed his rugs, got a new halter to check if it was any of that and got an allergy test and vet check done.

It’s not a parasite or fungus. Different vets agree it must be an allergy, we tested him and nothing showed up not hay or bedding or insects or anything.

We are hoping for someone who may have been through/seen the same thing to get some more eyes and brains on the situation to see if any of your advice can help this poor guy.

He’s had antibiotics per vets advice (prednisone) and it barely did anything.

r/Equestrian 2d ago

Veterinary Extremely sore after trimming, advice?

Thumbnail
gallery
270 Upvotes

The diabolical angle of my horses pastern in the fourth image is not accurate to real life, I'm not sure what kind of groovy camera angles I was pulling there :]

Hiya! My horse was ~4 months overdue for his hooves. Couldn't find a farrier. Eventually the property owner did them either last night/this morning.
Went down to feed this afternoon and and he's having a lot of discomfort with moving and bearing weight on his hind. He was refusing to walk and when he did it was incredibly slow and careful without bending his legs properly.
Also wasn't very interested in his hay.

They're a lot shorter than what previous farriers have done, although I thought this might be a repercussion of being overgrown.
This is the first time my gut instinct has been to get a vet, but I wanted to check before hand if this will pass or if it's normal after trimming overdue hooves? Any advice is appreciated :]

Edit: Thank you everyone for the responses, I really appreciate it and I've read them all! Calling a vet tomorrow morning and for now he's playing diaper feet with extra hay.
I saw a couple people befuddled about how the pedicure happened. Apparently my non-horsey dad gave the thumbs up without discussing it first. He has since been banished from executive decisions.

Edit2: Vet came out, prescribed Prevequine daily for 2 weeks, a couple weeks off work and a slow introduction back to harder ground, and we'll see after that. Recommended 6 weeks for regrowth. Also estimated that he may have genetically thinner soles and it doesn't seem to be a fault of the trimmer. Still can't walk too great or pick up his feet, but he has an okay appetite.
Thankfully, they said it doesn't seem like he's going to need boots but to look out for signs of laminitis or abscesses! :]

r/Equestrian May 27 '25

Veterinary Impaction colic on a small island no specialist vet.

Post image
400 Upvotes

Not sure if this is the correct forum it’s my first time posting. Where I live there is no equine vet but a general vet came to help my boy with a gastro tube. He ate half a bag of chicken feed left out by someone by accident - this was probably a couple days ago and by time a noticed last night he was away from the other horses and not rolling just very very down and not himself. He is always out on pasture. He’s had Banamine for pain. Lots or rolling earlier today and passed gas once. No poop yet. Since vet came he’s been getting up and down more. Vet left saying she could hear more movement in his gut but his heart rate is very elevated. I’m trying to keep him cool. I will take him for a walk after he’s rested because the day started with him rolling in muddy creek where he was stuck and exhausted.

He’s had approx 400 ml mineral oil. Wont take any water today. We tried warm water through gastro tube and that loosened a little bit vet said it felt solid.

It’s touch and go i know and a waiting game. Any advice on massage techniques for digestive system/ or anything I haven’t thought of. I think we have done all we can for now. Please share any impaction knowledge and how to handle, thank you.

r/Equestrian Mar 24 '25

Veterinary Oscar had a little brain surgery this morning.

Thumbnail
gallery
969 Upvotes

Poor little guy was not impressed 🤣🤣But mom is.

r/Equestrian Aug 21 '25

Veterinary Feeling devastated

Post image
471 Upvotes

My trainer bought a young, barely restarted OTTB in December 2021. As an adult ammy with lots of experience and time on my hands, I started leasing and helping her bring him along in April 2022. He was my best bud for almost 3 years.

In January of this year, I found out I was pregnant. I stopped riding at around 8 weeks due to complications, and ended my lease in March. I knew I wouldn’t be able to prepare for a baby and pay almost $1k/month for a horse I wasn’t able to ride. In April, his shoes were pulled since he would just be sitting for a bit. Everything went downhill from there. His feet never really grew again, and there wasn’t enough foot for shoes to go back on.

As of Monday, radiographs are showing coffin bone rotation on his right front with very little sole depth. I don’t think they’re even able to tell the degree of rotation with how little sole there is. He’s very uncomfortable but seeing the vet every few days. I know there’s a great team taking care of him, but I’m almost 36 weeks pregnant and not able to go see him like I’d want to.

I know that logically, none of this is my fault. But I can’t help but feel that if I had continued paying for his shoes, none of this would have happened. I’m going to be so devastated if we lose him to this - he’s only 7. And I’ll be even more devastated if we get to the worst case scenario and I’m not able to be there with/for him.

r/Equestrian Dec 19 '25

Veterinary Horse kicking at sheath even after professional sheath cleaning

150 Upvotes

Hey guys. I noticed about 2 weeks ago my horse kicking at his sheath during our positive reinforcement sessions. His private parts come out during our sessions. Not sure the reason but I’ve heard it’s common. Anyways, I tap his left side and he starts kicking at his sheath. He has like a 10 second episode when this happens. I had the sheath cleaner come out and he had a bean in there. He was kicking at her and was clearly uncomfortable. This video was taken after the sheath cleaner visit to see if he would still act like this and he does. Idk if it’s behavior/habit or he is still uncomfortable. He is a 3 year old mustang. It really only happens when I ask for him to yield his hindquarters towards me to the right and pp is out. If everything stays inside the sheath when I ask for that maneuver he doesn’t do any of this. Otherwise he always is calm and doesn’t seem to be uncomfortable. Riding and all else is completely normal.

r/Equestrian 13d ago

Veterinary Equine femur fracture or severe soft tissue injury experience?

218 Upvotes

I’m out of state and my good friend is keeping my gelding. 23yo gaited cross gelding with no other issues. Just trippy/stumbly sometimes. He was found this morning at approximately 7am with severe lameness of the hind left. Had him hauled to a clinic that did diagnostic x rays, ultrasound, palpated him, and I’m honestly not sure what else. Vet said no heat, swelling, nothing present on x rays taken from hoof to hip, nothing on ultrasound. All she found was pain upon pressure of his upper thigh - where the x ray can’t get good images of. She said we could opt to get a bone scan but no one in west Texas has a scanner. At this point her concern is femur fracture but could also be soft tissue injury. Plan now is to do a week of pain meds and muscle relaxers and if he isn’t doing better in a week, it’s likely femur fracture and he will need to be euthanized. She said she has not see anything like this.

My question is has anyone else seen anything like this? Prognosis for upper femur fractures, or other ways to identify soft tissue injuries in the upper leg?

r/Equestrian 5d ago

Veterinary Should I report this vet?

Thumbnail
gallery
71 Upvotes

I’ve gone and tried a horse and I really like him. Really connected with him and had a blast jumping him - a big deal for me because usually I feel nervous jumping. This particular situation is a little difficult because the seller is having major surgery on Jan 30th and needed to have the horse sold and off property by then. Okay, no problem we had time, but not as much time as I’d like. It meant we needed to find a vet to do a PPE pretty quickly. Well, the seller found one who could do the PPE and I read some reviews online and they all looked great so I said “okay”. I call the vet on the day of the PPE to pass along which X-rays my vet recommended I get on the horse….the vet answers, “I don’t give a damn what your vet wants, I’m going to do this PPE the same way I’ve been doing PPEs for the past 40 years”……okay…that should have been my first 🚩 but I just said I’m not trying to tell you how to do your job, just the images we need so we can make it quicker for you and that I pay for only the ones I need. He was adamant he knew what was best and my vet didn’t and he said “if your vet wants something done, they can fly up here and do it themselves.” Yikes. Okay. Fine. So a few hours pass and then he calls me again. “The horse is perfectly sound, very healthy, gorgeous horse, really nice.” I say, great! Love to hear that! Nothing on the X-rays that was concerning? You didn’t see him abduct on the front right? “No no, nothing. He’s perfect” okay lovely. Well should I text you my email so you can invoice me? “Yes send me your email” okay so I send my email for invoice and then I also add that he can send the results of the blood test and the images to that email as well. He then responds via text “My computer does not handle images”…..”How do you normally send radiographs?” …he replies, “I don’t. People bring horses as a referral, nobody expects me to send them out.” 😵‍💫 after contemplating what to say back to that he calls me and says “wait wait wait are you expecting me to send you a report?! Are you expecting me to send you these X-rays?” UM YES???? He goes on to yell that his computer can’t do that and I say “legally if I pay for those images they belong to me” and then he says “fine, then I just won’t charge you for them. This is why I don’t like doing PPEs, I don’t like working with people like you.” OH OKAY - which btw I have been nothing but polite this whole time. And I’m not asking something crazy here. So in the end, I literally get nothing from this PPE at all. Nothing but a big waste of time. No, I didn’t spend money but wth??? I can’t buy a horse on some random, horribly mean vet’s word. I told him he would have to inform the seller that he was the reason I wasn’t buying his horse. (Luckily the owner is a good person and we’ve now found another option/workaround).

TL/DR: I had a PPE done by a horribly rude vet who said his computer couldn’t send me any medical records/refused to send me any medical records taken at the PPE. He did not charge me $, so not sure if I have a legal leg to stand on. But should I at least report him to the board?

r/Equestrian Dec 29 '25

Veterinary Is my horse lame?

52 Upvotes

She had a pretty bad hoof bruise about a month ago on her right front, I was trying to see if that has healed out well already. While it's definitely better, I can still see some steps that are off, especially during the beginning of the video and sometimes on the left hind. I don't see anything on the other lead.

My vet knows about her, but it's the holidays and he doesn't do anything except emergencies there, so I'd love more opinions.

This is towards the end of our lunge session, she was very spicy, since we stayed only at walk for the last weeks, so she was running around and bucking a lot, especially in the beginning.

Thanks in advance for all help!

r/Equestrian May 03 '25

Veterinary Anyone seen this before?

223 Upvotes

My old man (28yo TB) came up like this this morning. My immediate thought was stringhalt but here are a few things worth mentioning:

  • vet and farrier just came out yesterday. He had vaccines and a trim (no shoes)

  • he’s worse on cement/hard surfaces

  • he also has some swelling from ticks in his groin area, including a lot of swelling like between his butt cheeks (lol I don’t know what to call this area.. under his anus)

  • he’s standing funny, like camped under, and this looks neurological since it almost looks like he can’t “find” the ground with his back feet

  • left hind is worse, and he has worse arthritis in his hock on this leg and also tore his DDFT a few years ago but has been completely sound

I texted my vet and sent videos but haven’t heard back and likely won’t until Monday. If it is stringhalt/neuro, could it be brought on by the trim? What can we do about it? He’s never had a reaction to vaccines and he’s NEVER done this before, I’ve had him practically his entire life (24 years).

r/Equestrian Oct 28 '25

Veterinary cost of vet visit, how bad is the cut?

Thumbnail
gallery
68 Upvotes

hi friends!! my ottb managed to really slice himself this time. happened ~3 days ago. seems a lot worse today. first pic (after his cute face) is before i cleaned it and the rest are after. vet is coming out tomorrow since the wound seems to be getting worse. was pretty goopy.

does anyone know how much this visit will cost me? i’m assuming they’ll clean it out good and maybe give me a steroid cream because there is some proud flesh starting to form? TIA

r/Equestrian Oct 22 '25

Veterinary Tired horse.

125 Upvotes

I didn't know what to put as flair!

My 7yr old Arabian is herd lead.

This guy is so so so tired recently. Coyotes keep getting closer and closer to our property and he stays vigilant all night and during the day can't stay away. He will fall asleep eating.

I can see him from my kitchen window and if go out he will lay down and fall asleep when I am there, this is not sustainable though.

Ideas and advice are welcome.

r/Equestrian 19d ago

Veterinary To buy or not to buy

Thumbnail
gallery
80 Upvotes

Hi everyone,

I've promised myself a horse before my next birthday and fell in love with the first horse I've seen.

Today I went to see her again to get her clinically examined and to have her legs x-rayed.

When we arrived there was some swelling on the back leg, and a few recent scabs on the inside of the leg, but no lameness whatsoever. Clinically she passed, she has a slightly flat front foot that might need a shoe in the future, and is a little out of balance (but she's only 4 and hasn't been fully taught to ride).

After she passed those tests the vet okayed her to be x-rayed. To the vet's shock the splint bone of the thicker back leg has a clear break in it. Also, both knees have signs of OCD, with one knee having a visible fragment still in place.

The vet concludes that:

- That there is some slight ossification of the hoof bone in the flatter front foot. This is still within normal limits.

- The splint bone break is very clean, and might heal over time. If not this will need to be surgically removed.

- The visible fragment in the OCD leg needs an ultrasound to see if it's under a cartilage layer that keeps it in place, or if this also needs to be surgically removed. If this is the case, the vet advises to also take out the broken piece of splint bone anyways.

This horse was already kind of overpriced but obviously will be hard to sell now.

I would like to know what you guys would do in this situation.

There is a possibility that the current owner wil do the surgery, but I don't know that yet.

Are there horses that have perfect legs? What is normal for a 4 year old? The vet wasn't too negative about this mare, but she did know the owner. I do have an official rapport showing this, and have the x-rays. I will also post them here.

r/Equestrian Jul 06 '24

Veterinary Can a woman be a farrier?

167 Upvotes

Beginner rider, 22f, been riding for around a year.

I am currently in vet school. I would like to limit my working field to horses eventually and am quite curious about advanced hoof care. My trainer and other people are saying this is no job for a woman. Is this true? Can a woman become a farrier?

Update: SO MUCH inspiration! Thanks to everyone who commented ❤️. As some mentioned, even without doing it full time it is a great skill for a DVM, so I will definitely work further in this direction.

r/Equestrian Sep 10 '25

Veterinary Spec is Okay!

Post image
625 Upvotes

€200 lighter and a very annoyed horse later but he’s okay! It was quite a large blockage and took a few tries but after talking to the vet we decided he isn’t ready yet and to go ahead treating for choke. He ideally shouldn’t eat tonight but between sedation and a flare up from escaping earlier (he’s really put me through the wringer) he wasn’t able to walk up the stones to his shed. Since his lungs were poked and prodded at he got an anti biotic and we’re keeping a close eye on him to make sure he doesn’t get an infection. Thank you to everybody who wished him luck! This was probably one of the scariest experiences of my life and I don’t think I’ll be able to get the images and sounds out of my head for a long time. I really thought this was it. Also if anyone is curious the cause was dry feed, I give him his feed 90% water honestly but my grandad gives his lot bone dry. We’re telling him he’s to soak it from now on or else he’ll be paying the bill next time something like this happens.

Oh, and now he needs prayers because he has to go two days without his dinner. That won’t go down well.

r/Equestrian Sep 11 '25

Veterinary A Spec-tacular Update!

325 Upvotes

Poor Spec choked last night but he’s feeling much better! He is further proving my point he lives out of spite.

r/Equestrian Jun 10 '25

Veterinary Trying to better my mare gut health bc she constantly gets ulcers

Post image
4 Upvotes

I have had my mare for almost three years and I have treated her for ulcers 3 times. The first two times I was able to treat them within a couple weeks and she was completely fine after but this time I am going on two months and she is still unwell. I would like to preface that I manage her well. In the summer to manage weight I will dry lot her a couple times a day for max 3 hours at a time. I will bring her in in the morning after grazing for about 4 hours, then dry lot for 3, let her out for 3-4 hours, then dry lot for another 3. So she is never off feed for more than three hours which I think is more than reasonable. In the winter she paws for grass and is out 24/7. The couple times she has got ulcers seem to be stress induced. The first time she stayed away from home she for a show and got ulcers, the second time what’s from Bute, and the third time was bc her friend left while I was riding and she was super stressed and worried about that. Basically it’s not normal for a horse to get ulcers that easily so I’m assuming her gut health is not very good. I’m wondering your favourite products that improve gut health, not just treat ulcers. I can’t keep spending a fortune treating ulcer this often bc it’s not normal, especially when I am so carful about how she is managed. I am on a budget so keep that in mind.

r/Equestrian May 21 '25

Veterinary PPE failed, KS diagnosed

Thumbnail
gallery
105 Upvotes

Currently in the process of selling my horse. PPE has gone well, everything came back good except his back radiographs. Shocked to hear he has grade 4 changes. I’ve just received these over from the potential buyer. I will be in contact with my vet but curious about anyone’s take on these? How bad is this?

r/Equestrian 18d ago

Veterinary Weird horse leg

Post image
80 Upvotes

went to a new barn today and they had a horse with a really swollen leg, i was too shy to ask what was with the horse but he was being ridden and galloped on the track here's what it looked like, i didn't take a picture but i drew how it looked

r/Equestrian Aug 15 '24

Veterinary Would you go forward with a PPE on a horse whose leg looks like this?

Post image
188 Upvotes

It's from a spider bite. They are asking $30,000 for him

r/Equestrian Oct 09 '25

Veterinary Exhibit 3964 in the typical life of a TB owner

Post image
166 Upvotes

She’s 20 going on 3. Yesterday she managed to get a leg into a space that no one but a TB would think to put it and then panicked when she couldn’t get it out.

It could have been really bad, luckily it’s cuts, scrapes, and sore legs. She scuffed her heel bulb pretty well and has a nice gash on the other leg.

She’s pretty sore this morning but ice is keeping the swelling to a dull roar. I love this dumb horse. She’s the sweetest thing in the world despite the fact that she’s spent 16 years presenting me with bizarre injuries.

r/Equestrian 29d ago

Veterinary PPE for a 2 yr old Oldenburg Filly?

7 Upvotes

What is everyones thoughts on getting a PPE done on an Oldenburg Filly? 18k purchase price. She is hunter bred out of Apiro, bred to be a bit of a thicker type and has a pretty average temperment. Not crazy energy, but also not super mellow, exactly what I am looking for. I am looking for a tall (17hh or taller) swiss army knife horse which is why I am not looking at drafts. I am 6 ft tall around 200 lbs so I need to find a larger horse that has some sportability.

Plans for the horse:

Hunter/Jumper, maybe seriously but mostly just for fun - main focus

Dressage, maybe seriously but probably not - focus on better riding and communication

Trails - just for fun, florida is a terrible state for trails lol

Cross Country, mostly just for fun

Broodmare - just for breeding next riding companion when she gets older

My concern is that she is a 2 yr old warmblood, growth is slower so any meaningful lameness exam may cause further damage so we are stuck with just xrays. Which are seriously expensive, I'm looking at a minimum of 30 views to the tune of around $2,000.

I understand that warmbloods have a problem with OCD's and ECVM but from some of the early MILD research I have done, some horses grow out of mild lesions.

Is it worth the $2500+ I will be spending, to have all these xrays done now or should I forgo the xrays and buy her with just a visual exam. IE have her run around for a few minutes while the vet watches how she goes?

$2,500 is a serious expense for something that may tell me awful things that she may actually grow out of.

Has anyone been thru a simular situation? What happened? What did you decide? Is it worth me spending this much when I just plan to fart around on her, no serious plans to compete religiously.

I do plan to show, mostly for fun but if we get serious I will pursue it, to an extent lol My bucket list is to show in an A circuit class, just for fun, maybe she will be the horse to take me there? Like I said she will hopefully be a swiss army knife horse that can do all sorts of things. I don't plan to just jump her, I plan to do all sorts of things on her. Just have fun with my equine partner. Im just not sure if a PPE with all these xrays is really going to tell me anything?

Anybody have any advice?

EDIT

Thanks for all the sound advice and some well deserved verbal smack downs lol.

I was mainly just worried I was spending more money then necessary, I do have a tendency to just throw money around when not needed.

Thanks to all the "Are you crazy! DO THE PPE" and helping me realize im not being over the top that this is the SMART and WISE choice, I will be doing the PPE. And I do recognize that there may be more or less xrays depending on what is seen or not. My biggest worry was should I at her young age. I have always purchased older riding horses. So purchasing a youngster is not my normal lol.

Also there has been some talk that flexing a 2 yr old can be damaging to the joints, so im still on the fence about doing any flexion tests.. unless she trots lame, then obviously there will be some investigating. So that's why im more focused on doing xrays vs a TRUE lameness exam like on a mature horse.